

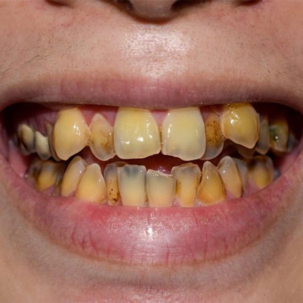
It’s a heavy question that many patients ask with a mix of fear and hope: “Is it too late for my smile?” If you’ve noticed your teeth shifting, your gums pulling away, or a persistent dull ache in your jaw, you are likely worried that the damage is permanent.
At Chula Vista Periodontics, we believe in a clear distinction: while you can’t always “reverse” the clock, you can almost always stop the infection and rebuild what was lost. As the most sought-after specialist office in the South Bay, we specialize in high-tech solutions for cases that other offices have labeled “too far gone.”
To answer this, we have to look at the difference between reversing an infection and managing bone loss.
Gingivitis (Reversible): In the early stages of periodontal disease, the damage is only to the soft tissue. With a professional cleaning and improved home care, your gums can return to a 100% healthy state.
Periodontitis (Manageable/Regenerative): Once the infection reaches the bone, it is no longer “reversible” in the traditional sense because bone doesn’t grow back on its own. However, it is highly treatable. We can stop the disease from progressing and, in many cases, use advanced technology to regenerate the lost support.
While we can always treat the disease, a specific tooth may be unsalvageable if:
Class III Mobility: The tooth moves vertically (up and down) in the socket or more than 2-3mm side-to-side.
Severe Bone Loss: More than 70% of the bone supporting the root has been destroyed.
Chronic Abscesses: Recurring infections at the tip of the root that have compromised the internal structure of the tooth.
Even if you lose a tooth, it is never too late to stop the infection from spreading to your other teeth or your bloodstream. Untreated gum disease is a direct threat to your oral-systemic health connection, linked to heart disease and diabetes complications.
At Chula Vista Periodontics, Dr. Susan Nguyen uses specialist-level tools to save teeth that general dentists might suggest extracting:
LANAP® Laser Surgery: This is the only FDA-cleared treatment proven to actually regenerate bone around natural teeth. It’s the closest thing modern medicine has to “reversing” periodontitis. Learn how LANAP® can save your teeth.
Holistic PRF Therapy: By using your own blood’s growth factors, we can “supercharge” the healing of your jawbone and gums. This holistic PRF therapy is a game-changer for advanced cases.
Laser Scaling & Root Planing: For moderate cases, we use laser-assisted deep cleanings to decontaminate pockets that traditional tools can’t reach.
If a tooth truly is past the point of saving, we don’t just leave a gap. We transition you seamlessly to the “Gold Standard” of tooth replacement: permanent dental implants. Because we are a specialist office, we ensure the gum disease is treated first so your new implants have a healthy, infection-free foundation.
The “too late” threshold moves every day you wait. Join the most sought-after office in Chula Vista for a “No Judgment” consultation. We offer IV sedation to ensure your journey back to health is completely stress-free.
Schedule Your Specialist Evaluation Today or call us at (619) 425-9770.
get started below!
We’ll never share your information with anyone.

A confident, healthy smile starts with expert gum care. Schedule your free Chula Vista consultation today and take the first step toward lasting oral health.
Monday : 8:30am – 5pm
Tuesday : 8:30am – 5pm
Wednesday : 8:30am – 5pm
Thursday : 8:30am – 5pm
Friday : Closed
Saturday : Closed
Sunday : Closed