

It’s a common question: “Is my regular cleaning enough, or can my dentist actually fix this?” If you’ve noticed your gums bleeding during brushing or feel like your breath just isn’t fresh no matter how much you mouthwash, you’re likely looking for more than a standard checkup.
At Chula Vista Periodontics, we want to be clear: while a general dentist is your first line of defense, “fixing” gum disease often requires moving from general dentistry to specialist care. As the most sought-after office in the South Bay, we specialize in the advanced treatments that go beyond what a standard dental office can provide.
The answer is yes, but the type of treatment depends entirely on how far the infection has traveled. Think of your oral health like a house: your general dentist maintains the paint and windows, but a periodontist manages the foundation.
If you are in the earliest stage of periodontal disease, known as gingivitis, your general dentist can usually resolve it.
Professional Cleanings: Removing plaque and tartar above the gumline.
Education: Teaching better flossing and brushing techniques.
Monitoring: Keeping an eye on “pockets” (the space between your tooth and gum).
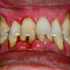
Once the infection moves below the gumline and begins to eat away at the bone, a standard cleaning is no longer effective. This is where a Board-Certified Periodontist like Dr. Susan Nguyen steps in.
| Procedure | Who Performs It? | Purpose |
| Prophy (Regular Cleaning) | General Dentist/Hygienist | Prevention for healthy gums. |
| Scaling & Root Planing | Specialist/Hygienist | Deep cleaning to remove infection under the gums. |
| LANAP® Laser Surgery | Periodontist | Regenerating bone and killing deep bacteria without scalpels. |
| Gum Grafting | Periodontist | Restoring receding gums to protect roots. |
We offer the most advanced gum disease treatments in San Diego. If your general dentist has told you that you have “deep pockets” or “bone loss,” we use specialized technology to save your teeth:
Laser Scaling and Root Planing: We don’t just scrape; we use lasers to decontaminate the area. Read more about Laser SRP here.
LANAP® Laser Protocol: This is the “Gold Standard.” It is the only FDA-cleared treatment proven to regrow the bone lost to gum disease. No cutting, no sewing. Discover the benefits of LANAP®.
Holistic Healing (PRF): We use your own blood’s growth factors through PRF therapy to jumpstart your body’s natural healing process.
Patients choose Chula Vista Periodontics because we handle the cases that other offices find too complex.
Expertise: Dr. Nguyen is a Board-Certified specialist focusing exclusively on gums and bone.
Comfort: We offer IV sedation so you can get the deep treatment you need without any of the anxiety.
Affordability: We work with your dental insurance and offer financing through CareCredit to ensure your health is never a financial burden.
If you’re wondering if a dentist can do anything, the best time to act is now. Stopping the infection early can save you from needing permanent dental implants later. Join the thousands of Chula Vista residents who have reclaimed their health in our “No Judgment” environment.
Schedule Your Specialist Consultation Today or call our office at (619) 425-9770.
get started below!
We’ll never share your information with anyone.

A confident, healthy smile starts with expert gum care. Schedule your free Chula Vista consultation today and take the first step toward lasting oral health.
Monday : 8:30am – 5pm
Tuesday : 8:30am – 5pm
Wednesday : 8:30am – 5pm
Thursday : 8:30am – 5pm
Friday : Closed
Saturday : Closed
Sunday : Closed