

If you’re worried that your gum health has reached a “point of no return,” you aren’t alone. Many patients walk into our Chula Vista office feeling overwhelmed by the terminology and the state of their smile. Understanding the progression of gum disease is the first step toward taking back control.
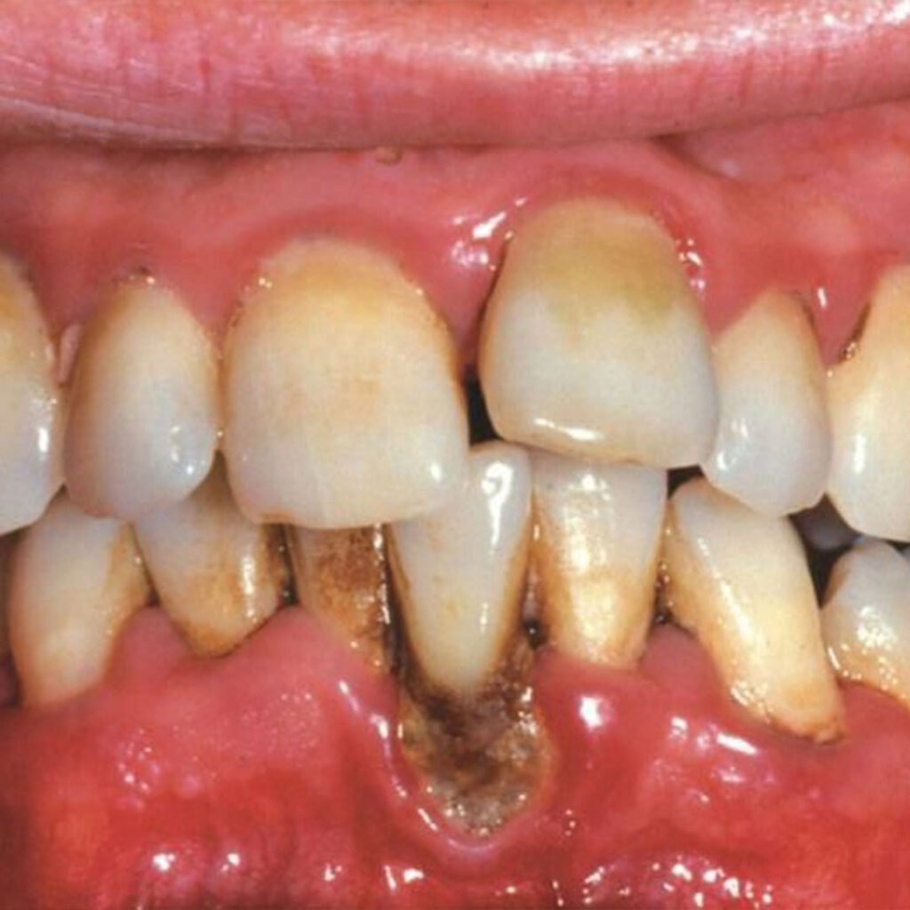
The absolute worst stage of gum disease is Advanced Periodontitis. At this point, the infection has moved beyond the soft tissues and is actively destroying the alveolar bone and connective ligaments that hold your teeth in place. If your teeth feel like they are “playing musical chairs” or shifting when you eat, you have likely reached this critical stage. Without immediate intervention from a specialist periodontist, tooth loss is not just a possibility—it is an inevitability.
In advanced periodontitis, the “pockets” around your teeth have become so deep (often 7mm or more) that they are impossible to clean at home. These pockets become breeding grounds for aggressive bacteria that eat away at your jawbone. This leads to visible receding gums and a high risk of abscesses. If a tooth becomes too loose to function, we may need to perform a specialist tooth extraction to clear the infection before it spreads to neighboring healthy teeth.
Advanced periodontal disease isn’t just a “mouth problem.” It is a chronic inflammatory condition that puts a massive strain on your immune system. Research continues to show a terrifying link between late-stage gum disease and systemic issues like heart disease, stroke, and poorly controlled diabetes. Our team focuses on the oral-systemic health connection because treating the “worst” stage of gum disease can literally be a life-saving measure.
Even if you are at the “worst” stage, modern technology means you don’t have to lose your smile. At Chula Vista Periodontics, we specialize in “saveable” cases using LANAP® laser gum surgery. This incredible technology can actually help stimulate bone regeneration around your natural teeth. For teeth that have already been lost, we can rebuild the foundation with ridge augmentation and restore your confidence with permanent dental implants.
The “worst” stage of periodontal disease only gets worse the longer you wait. Whether you need to save your remaining teeth or you’re ready to discuss a full-mouth restoration, Dr. Susan Nguyen is here to provide a judgment-free, expert evaluation.
Schedule Your Emergency Periodontal Consultation Today or call our Chula Vista office at (619) 425-9770.
get started below!
We’ll never share your information with anyone.

A confident, healthy smile starts with expert gum care. Schedule your free Chula Vista consultation today and take the first step toward lasting oral health.
Monday : 8:30am – 5pm
Tuesday : 8:30am – 5pm
Wednesday : 8:30am – 5pm
Thursday : 8:30am – 5pm
Friday : Closed
Saturday : Closed
Sunday : Closed