

It is the question that keeps many people awake at night: “How much time do I have left before my teeth actually start falling out?” If you’ve noticed a tooth feels slightly loose or your gums are constantly tender, that “internal clock” feeling is your body’s way of sounding the alarm.
At Chula Vista Periodontics, we see patients every day who are terrified they’ve waited too long. As the most sought-after specialist office in the South Bay, we want to give you the candid truth: there isn’t a universal “expiration date,” but there is a very predictable biological cliff.
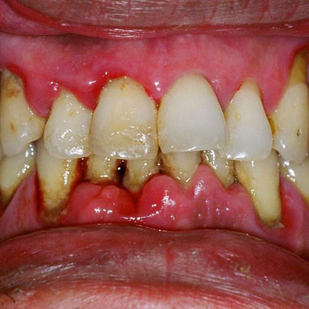
Periodontitis is a chronic infection that eats away at the “retaining wall” of your teeth (the bone and ligaments). On average, without any treatment, it can take between 2 to 10 years for a tooth to go from the first signs of bone loss to falling out. However, this timeline can accelerate rapidly depending on your health and habits.
| Stage | Timeline (Approximate) | What is Happening? | Can We Save It? |
| Gingivitis | Weeks to Months | Red, bleeding gums. Bone is still intact. | Yes! 100% Reversible. |
| Early Periodontitis | 1 – 3 Years | 10-20% bone loss. Pockets form. | Yes. With Laser SRP. |
| Moderate Periodontitis | 3 – 7 Years | 20-50% bone loss. Teeth may feel “longer.” | Usually. With LANAP® Laser Surgery. |
| Advanced Periodontitis | 7 – 10+ Years | >50% bone loss. Visible shifting and mobility. | It depends. May need Dental Implants. |
While some people can live with gum disease for a decade before losing a tooth, certain factors can make teeth fall out in a matter of months:
Smoking/Vaping: Nicotine restricts blood flow, masking the bleeding while the bone dissolves twice as fast.
Diabetes: High blood sugar acts like fuel for the bacteria that cause bone loss.
Bite Trauma: If your teeth are misaligned, the “pounding” of your bite on a weakened foundation speeds up mobility. We check for this during our comprehensive TMJ screening.
Once a tooth begins to move (mobility), you have reached the final stage. When bone levels drop below 50%, the tooth acts like a lever, and every time you chew, you are actually “wiggling” the tooth out further. At this point, you are likely only months away from losing the tooth unless you see a Board-Certified specialist like Dr. Susan Nguyen.
We specialize in “saving the unsaveable.” Even if you’ve been told it’s too late, we have tools that general dentists do not:
LANAP® Regeneration: We use the PerioLase® MVP-7 to kill bacteria and stimulate your body to actually regrow the bone you lost. Discover how LANAP® saves “hopeless” teeth.
Holistic PRF Healing: We use your own blood’s growth factors to jumpstart the healing of your gum attachment. Read about our Holistic PRF Therapy.
No-Judgment Care: We know life happens. We offer a stress-free environment with IV sedation so you can get treated without fear or embarrassment.
The cost of saving a tooth is significantly lower than the cost of full mouth dental implants. If you are worried about your teeth falling out, the most important thing you can do is get an accurate measurement of your bone levels today.
Schedule Your “Save Your Smile” Consultation Now or call us at (619) 425-9770.
get started below!
We’ll never share your information with anyone.

A confident, healthy smile starts with expert gum care. Schedule your free Chula Vista consultation today and take the first step toward lasting oral health.
Monday : 8:30am – 5pm
Tuesday : 8:30am – 5pm
Wednesday : 8:30am – 5pm
Thursday : 8:30am – 5pm
Friday : Closed
Saturday : Closed
Sunday : Closed