

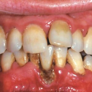
If you’re noticing bleeding gums or persistent bad breath, you aren’t just “getting older”—you’re likely dealing with an infection that needs specialist attention. In Chula Vista, we offer some of the most advanced technology in the South Bay to stop gum disease in its tracks and save your natural teeth.
Many people delay treatment because they believe a standard dental cleaning is enough. However, when infection reaches the bone, you need a specialist periodontist to manage the condition. At Chula Vista Periodontics, we focus on treating the root cause of inflammation to prevent tooth loss and protect your oral-systemic health.
For early-stage gum disease (gingivitis) or mild periodontitis, the first line of defense is often laser scaling and root planing.
Unlike a regular cleaning, this “deep cleaning” goes beneath the gum line to remove hardened tartar and bacteria. We use advanced lasers to disinfect the pockets around your teeth, allowing the gum tissue to reattach and heal naturally. This is one of the most effective and least invasive gum disease treatments in Chula Vista, CA.
If your condition has progressed, you may be a candidate for LANAP® laser gum surgery. This is a game-changer for our patients.
No Scalpels or Sutures: The laser selectively targets only the diseased tissue.
Faster Recovery: Most patients return to work the very next day.
Bone Regeneration: LANAP is the only FDA-cleared laser treatment proven to help regrow the bone lost to infection.
In cases of advanced bone loss, we provide specialized surgical interventions. From osseous surgery to reduce deep bacterial pockets to guided tissue regeneration, our goal is to rebuild the foundation of your smile. If a tooth cannot be saved, we offer specialist tooth extractions followed by permanent dental implants to restore your smile’s function and beauty.
Gum disease is a progressive condition that won’t go away on its own. Whether you need a second opinion or are ready to start your journey to health, our Chula Vista team is here to support you with compassionate, expert care.
Schedule Your Gum Disease Consultation Today or call us at (619) 425-9770.
get started below!
We’ll never share your information with anyone.

A confident, healthy smile starts with expert gum care. Schedule your free Chula Vista consultation today and take the first step toward lasting oral health.
Monday : 8:30am – 5pm
Tuesday : 8:30am – 5pm
Wednesday : 8:30am – 5pm
Thursday : 8:30am – 5pm
Friday : Closed
Saturday : Closed
Sunday : Closed